I have been too busy to post many cases in the last few months. Thanks to Isaac we are getting some rain which allowed me a few hours on the computer
The following is a case from this week. This is a 7 year old pleasure horse with a long term history of choppy gait and off and on head bob responsive to bute.
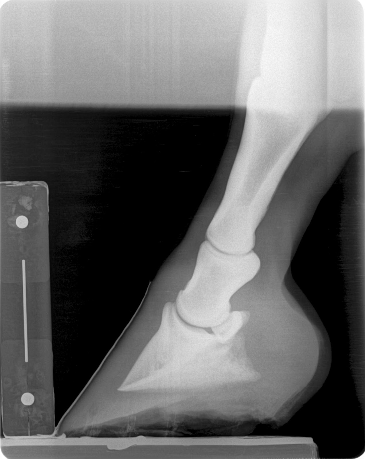
1/5 lame bilateral but 2/5 on left turn in a tight circle. Left front is a grade 1+ club and podiatry style films confirm healthy soft tissue parameters. My thought process is: With healthy sole depth and minimal remodelling of the apex of coffin bone on a club foot I want to next look at the navicular bone to evaluate for lesions. This case shows significant lesions in several views. This are most likely in the distal half of the flexor cortex of the navicular bone. I find these similar lesions in younger non lame patients but I do feel as they reach middle age they begin to create lameness. Dr. Redden feels that the navicular bone of the club foot does not recieve as much load from the tendon versus the lower profile foot and does not develop as strongly as the low foot. I am beginning to feel that these lesions are developmental and become more degenerative with age and use. If dissected out these lesions will be a slight depression in the flexor cortex with a roughened edge that likely causes some abrasiveness to the deep digital flexor tendon.
My treatment plan is to drastically increase palmar angel to reduce load on the painful area. This will allow some decrease in inflammation and likely a lower mechanical shoe in the future. I have also prescribed a 5 day course of bute to decrease pain and inflammation. I choose mechanical options first as it is a very low risk treatment and we can always resort to injections of the coffin joint and/or navicular bursa. However I find that most of my cases respond very well to mechanical enhancement alone. I will let you know about the response we obtain in this case.
Below are images of the navicular bone, pre and post shoe podiatry radiographs and digital photos of the patient.
Click here to shop Dr. Reddens products (shoes, ultimates and much much more) SHOP NANRIC
Note the better digital alignment the drastic change in palmar angle, tendon surface angle and reduced toe lever. This shoe changed PA by 12-14 degrees which will unload the tendons load on the navicular bone by 50 to 60 percent.
Thanks for looking.
The following is a case from this week. This is a 7 year old pleasure horse with a long term history of choppy gait and off and on head bob responsive to bute.
1/5 lame bilateral but 2/5 on left turn in a tight circle. Left front is a grade 1+ club and podiatry style films confirm healthy soft tissue parameters. My thought process is: With healthy sole depth and minimal remodelling of the apex of coffin bone on a club foot I want to next look at the navicular bone to evaluate for lesions. This case shows significant lesions in several views. This are most likely in the distal half of the flexor cortex of the navicular bone. I find these similar lesions in younger non lame patients but I do feel as they reach middle age they begin to create lameness. Dr. Redden feels that the navicular bone of the club foot does not recieve as much load from the tendon versus the lower profile foot and does not develop as strongly as the low foot. I am beginning to feel that these lesions are developmental and become more degenerative with age and use. If dissected out these lesions will be a slight depression in the flexor cortex with a roughened edge that likely causes some abrasiveness to the deep digital flexor tendon.
My treatment plan is to drastically increase palmar angel to reduce load on the painful area. This will allow some decrease in inflammation and likely a lower mechanical shoe in the future. I have also prescribed a 5 day course of bute to decrease pain and inflammation. I choose mechanical options first as it is a very low risk treatment and we can always resort to injections of the coffin joint and/or navicular bursa. However I find that most of my cases respond very well to mechanical enhancement alone. I will let you know about the response we obtain in this case.
Below are images of the navicular bone, pre and post shoe podiatry radiographs and digital photos of the patient.
Click here to shop Dr. Reddens products (shoes, ultimates and much much more) SHOP NANRIC
Note the better digital alignment the drastic change in palmar angle, tendon surface angle and reduced toe lever. This shoe changed PA by 12-14 degrees which will unload the tendons load on the navicular bone by 50 to 60 percent.
Thanks for looking.






