I elected to remove more dorsal hoof wall in area's that cavities existed and pack with a mixture of pine tar and oakum versus cleaning and packing with white lighting gel. Below are updated photos and radiographs. Read the captions for further information regarding individual images.
![]() |
| Increased sole depth but lesions from fungal invasion have remained |
![]() |
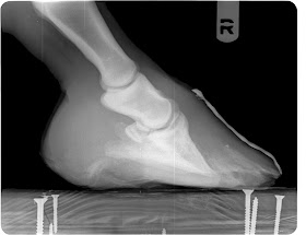
| Very first radiographs |
![]() |
| Good improvement in sole depth and new growth without fungal invasion |
| right front with 1/3 of new hoof growth. |
| Left front with almost half of new hoof growth without cracks. |
Shoes are attached with a few nails into hoof wall then 3-4 next to hoof wall and superfast adhesive is used to glue nails to hoof wall. A band of superfast is added across the front to attach the two sides. This has been one of my tougher cases and I appreciate the opportunity to work on this difficult case and the commitment the Owner has made to her equine companion. We still have several months to go but I feel we have made significant improvement.
We have two cases in the barn right now that we have been working with and plan to post them here on the blog as soon as time will allow to put together all the images, time lines and thought processes. One is a fractured second phalanx (short pastern) named Lila that is recovering nicely and the second is a newly acquired laminitis case that was acutely laminitic about 6 weeks ago. We will be posting those soon so keep checking back. I am also excited about attending Dr. Redden's In depth podiatry 201 course August 8-12 in Versailles, Ky with farrier and friend Brendan Frost.
CHECK OUT WWW.HEARTLANDHORSE.COM FOR THE ONLINE VERSION OF THE HEARTLAND HORSE TRADER FOR MY FIRST ARTICLE EVER PUBLISHED!! Look for it in all your local feed stores, tack shops and shows.
Stay cool, but most importantly Stay Fresh,,,,in your knowledge.




No comments:
Post a Comment