Well it has been a while since we looked in on our backyard mare project. We found some time to radiograph and update her venogram. She has grown to a little over 17mm of sole depth and a notable return in solar papillae. She has just been in the rockered 4pt shoe and maintained on pasture and trailriding. I have placed her back in a more traditional flat steel shoe and placed in a fashion that would commonly be applied. I theorize that this breakover is too long even on the day I placed it and will be growing ever longer throughout the shoe cycle. The flat shoe will once again solidly engage the deep digital flexor tendon in which will begin to compress the solar corium and decrease sole depth over the next 2-3 months. We will continue to radiograph and follow to see what happens.
 |
| Very first venogram 3 1/2 months ago, for comparision |
 |
| Note the return of the solar papillae with added foot mass. This is the reason that Dr. Redden claims 15mm is an adequate sole depth, as is requires 15mm to have a normal healthy venogram with good vascular depth and these papillae. There is a peculiar absence of contrast that is there from an unknown cause, maybe an abscess brewing creating internal pressure, pushing the contrast out???? |
 |
| Very first raidograph, note the very thin soles. |
 |
| Here is a shot just before the removal of the shoe and venogram. Note the massive increase in sole depth since we began. |
 |
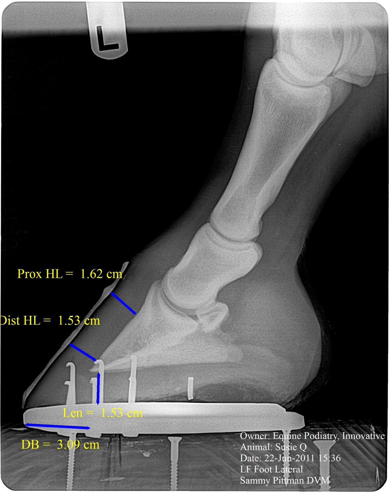
| Here is a shot after venogram and I placed her in a more common flat steel shoe in a manner in which I would have placed prior to a changing of my mind of how forces interact in the foot. The DB (digital breakover) is 30 mm. This will continue to lengthen over time and reaching a likely 40-45mm by the next shoeing cycle, possibly. I also surmise that a gradual reduction in sole depth will also occur due to the long and every increasing DB and increasing forces from ddf on solar corium and dorsal hoof decreasing the circulation. |
 |
| solar shot of flat steel shoe. |
 |
| lateral view of flat steel shoe. For those of you who know me, know that this was very difficult for me to do. HEHEHEHEHEHe |
Keep checking back for further updates on all our cases and a new one still to come is project Lilla. She is recovering nicely from a fractured short pastern bone. I will post here case study as soon as time will allow. Please feel free to contact us here in Tulsa, Ok via text/call at 918.235.1529 or email at innovativeequinepodiatry@hotmail.com.
We are getting prepared for several upcoming events such as: July 9th a reduced cost coggins clinic at animal health supply in Tulsa Ok, Aug 8-12th Dr. Redden's 201 podiatry course at International Equine podiatry center in Versailles Ky, 1-2 local demonstrations of radiological and external exam of the hoof and soft tissue parameter measurements, and of course the In depth podiatry lecture and demo with Dr. Redden here in Tulsa October 14th and 15th.
We thank you all for your support.