I hope all are having a great holiday season. Kellee and I wish all of you the best in the new year. We are looking forward to new podiatry cases and meeting new clients.
I am finally getting some time to post some images from the Redden clinic we hosted here in Tulsa Ok back in October. We had a great time and had some good cases to work on. Two cases I have continued to follow with radiographs and one with venograms. Dolly the mild laminitis case we used as a venogram demonstration case I plan to post separately as a single case report after our next shoeing and venogram next month. She was an interesting case and I have lots of images. She is doing well and growing nice foot mass.
I can't thank Dr. Redden enough for spending his time with us in Tulsa. Anyone that may be interested in attending future clinics in Tulsa please email us a iepvs11@gmail.com.
I will also be posting an update to Lobo the laminitis case with recent radiographs, shoeing approach and venograms.
Please look back in the archives to view many other cases and images. I will be posting two more laminitis cases soon as well.
First case is a chronic navicular with rotational and varus limb deformities. Goal is to increase tendon surface angle, Palmar angle and reduce digital breakover.
Below: Quarter race horse that goes off after 150 yards or so and quits running. 4yrs old and has moderate navicular changes already. Placed in Rockered Race shoe from NANRIC to increase TSA and PA. This will unload DDF/nav bone engagement and small osteophyte at dorsal aspect of coffing joint.
The next case with thin soles and crushed heels. Poor quality foot mass. Placed in a rockered full rocker from NANRIC to increase PA unload DDF and increase circulation and unload solar corium. Better digital alignment is also another benefit of the rocker shoe application.
This case was a grade 2 club. The owner reports the horse had a check ligament desmotomy at 18 months and is now 2 years. Note the Large bone angle in the Left Front and the boney changes that accompany the club foot forces, bump on dorsal aspect of coffin bone about halfway down and remodeled apex. All load induced lesions. This case is a barrel horse prospect and not actively training that much. Dr. Redden decided to maintian in four point trim for now and is needed to help maintain good foot mass while in performance a rockered flat steel shoe and or a full rocker.
I am finally getting some time to post some images from the Redden clinic we hosted here in Tulsa Ok back in October. We had a great time and had some good cases to work on. Two cases I have continued to follow with radiographs and one with venograms. Dolly the mild laminitis case we used as a venogram demonstration case I plan to post separately as a single case report after our next shoeing and venogram next month. She was an interesting case and I have lots of images. She is doing well and growing nice foot mass.
I can't thank Dr. Redden enough for spending his time with us in Tulsa. Anyone that may be interested in attending future clinics in Tulsa please email us a iepvs11@gmail.com.
I will also be posting an update to Lobo the laminitis case with recent radiographs, shoeing approach and venograms.
Please look back in the archives to view many other cases and images. I will be posting two more laminitis cases soon as well.
First case is a chronic navicular with rotational and varus limb deformities. Goal is to increase tendon surface angle, Palmar angle and reduce digital breakover.
Below: Quarter race horse that goes off after 150 yards or so and quits running. 4yrs old and has moderate navicular changes already. Placed in Rockered Race shoe from NANRIC to increase TSA and PA. This will unload DDF/nav bone engagement and small osteophyte at dorsal aspect of coffing joint.
Next Case: Older teenage trail and lesson horse. He has been plagued with Navicular disease and is 2/5 lame on left front. Immediate improvement is noted and absolutely no head bobbing at next reset. The first three images are from the day of the clinic and the last two are pre shoeing radiographs from the reset. I misplaced the day of the clinic rads for this case.
![]() |
| This is is post trim with application of barium paste to accentuate the trim performed by Dr. Redden. |
The next case with thin soles and crushed heels. Poor quality foot mass. Placed in a rockered full rocker from NANRIC to increase PA unload DDF and increase circulation and unload solar corium. Better digital alignment is also another benefit of the rocker shoe application.
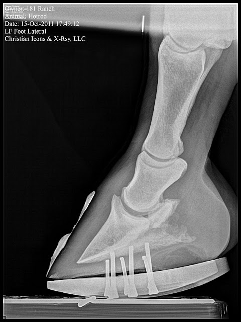
This case was a grade 2 club. The owner reports the horse had a check ligament desmotomy at 18 months and is now 2 years. Note the Large bone angle in the Left Front and the boney changes that accompany the club foot forces, bump on dorsal aspect of coffin bone about halfway down and remodeled apex. All load induced lesions. This case is a barrel horse prospect and not actively training that much. Dr. Redden decided to maintian in four point trim for now and is needed to help maintain good foot mass while in performance a rockered flat steel shoe and or a full rocker.
![]() |
| Post 4 point trim. Note improved digital breakover created by the slight bevel in toe |



















